在生命的荆棘路上,有些人因疾病与伤痛陷入命运的泥潭,而医学的曙光总能为他们点亮前行的方向。顺德和平外科医院骨科四区(足踝外科)始终以专业之力,为无数足踝疾病患者重塑行走的希望。从“爬行少年”熊洞的涅槃重生,到50岁华女士(化名)跨越48年的足踝矫正,见证着足踝外科技术的突破与对患者生命质量的深刻改变。


顺德和平外科医院之社会责任
顺德和平外科医院骨科四区:专业铸就足踝健康守护者骨科四区(足踝外科)作为本地区较早开设的足踝专科,以科室主任程忠勇为核心的专业团队,深耕足踝疾病诊疗领域。
科室擅长外伤性足踝部骨与关节损伤、畸形矫正、慢性溃疡创面修复等复杂病例,累计为数千例患者实施手术治疗。程忠勇主任带领团队始终践行“精准诊断、微创治疗、快速康复”的理念,通过前沿技术与个性化方案,让每一双足踝重拾稳健与自由。无论是创伤后的功能重建,还是先天畸形的矫正,科室均以卓越的临床疗效赢得患者信赖。

病例故事一:熊洞的“爬行人生”终结于双下肢新生。
四川凉山烂房子村的少年熊洞,因严重烧伤致残,双足粘连孪缩,被迫以跪行方式生存13年。其病情复杂,涉及软组织瘢痕、关节挛缩及功能丧失。顺德和平外科医院接诊后,迅速组建专家小组,经多次研讨制定手术方案——粘连孪缩组织切开游离皮瓣修复术。手术团队精准切开挛缩组织,重建下肢解剖结构,并移植健康皮瓣修复创面。术后半年随访显示,熊洞已彻底摆脱拐杖,行走自如,康复训练效果理想。这一手术不仅恢复了他的肢体功能,更重塑了他的人生尊严,从“爬行者”到“站立者”,他重新拥抱了社会与未来。

病例故事二:华女士48年的马蹄足畸形,一次手术改写人生轨迹。
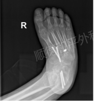
华女士自幼患有右足内翻畸形(马蹄足),足踝僵硬内翻、行走疼痛伴随她度过48年。50岁那年,她选择来到顺德和平外科医院寻求治疗。经详细查体和影像评估,骨四区团队决定实施矫形手术:通过马蹄内翻畸形松解矫形、跟腱延长、肌腱转位、多关节截骨复位融合等十余项操作,一次性解决畸形、疼痛与功能障碍。



术后摄片显示关节对合良好,内固定稳定;一个月复查时伤口愈合,肿胀消退;三个月随访时,华女士已逐渐摆脱助行器,向着行走自如、步态稳健走去,笑容自信洋溢。48年的畸形束缚被彻底打破,她的生活从此步入了新篇章。
对马蹄足内翻患者而言,手术治疗不仅是解剖结构的修复,更是生命质量的飞跃。术式不仅考虑矫正畸形,更关注患者长期行走功能的恢复,将“治病”与“重塑生活”紧密结合。



复杂矫形术式解析:技术突破与人性化关怀的结合马蹄足内翻的复杂截骨矫形术,是足踝外科领域的高难度挑战。该术式需精准处理多个解剖结构:通过截骨调整骨骼位置(如跟骨、跖跗关节)、松解软组织(跟腱、肌腱)、融合关节稳定结构,同时结合内固定器材确保骨骼愈合对位。其核心在于“个性化设计”,根据每位患者的畸形程度、软组织条件、关节功能等因素,定制手术路径。


顺德和平外科医院的足踝外科团队,通过精准医疗让患者:摆脱疼痛与功能障碍,恢复行走能力,重获自由;消除心理枷锁,畸形矫正带来的外观改善,显著提升自信心;回归社会角色,从被“注视”的“特殊者”变为普通的“行走者”,重建社会融入感。

免责声明:市场有风险,选择需谨慎!此文仅供参考,不作买卖依据。